Glavni kardiolog Srbije: “Svaki treći građanin Srbije stariji od 45 godina umret će od hipertenzije u sledećih 10 godina, ne sluteći da je bolestan. Država ne mari za zdravlje penzionera i hipertoničara”
-
12 miliona
12 miliona ljudi umre od srčanih bolesti svake godine.
-
95%
U 95% slučajeva hirurška intervencija se može sprečiti.
-
85%
Više od 85% moždanih i srčanih udara povezano je sa prljavim krvnim sudovima.
“Nikad nisam video tako strašnu statistiku za sve godine moje lečničke prakse. Sada je moja misija pomoći tim ljudima i produžiti im živote! Potpuno sam uveren da će svaki građanin Srbije moći sam sebi pomoći i kod kuće.”
Prof. Marko Stanković́, je kardiolog, profesor. Poznat je po tome što leči ljude bez tableta. Prema njegovim rečima, zbog nepravilnog lečenja povišenog krvnog pritiska, 2021-2023. preminuo je svaki 4. penzioner. Srećom, Marko Stanković́ ima plan kako produžiti život ljudima za 12-15 godina.
Marko Stanković́ je uveren da SVATKO MOŽE SAMOSTALNO OČISTITI KRVNE ŽILE KOD KUĆE, POBOLJŠATI RAD KARDIOVASKULARNOG SUSTAVA I ŽIVETI 15 GODINA DUŽE!
Кako se radi to isceljujuće čišćenje, doktor je ispričao dole.
Takođe u ovom članku se spominju sledeće teme:
- Živeti do 100 godina bez tableta je realno!
- Zašto hronična neizlječiva obolenja idu rame uz rame sa zakrčenim krvnim sudovima
- Skriveni i očigledni znaci zaprljanih krvnih sudova
- SAVREMENE METODE LEČENJA HIPERTENZIJE KOD STARIJIH OSOBA BEZ TABLETA
Zapostavljanje krvnih sudova može biti Vaš ubica!
Profesor Marko Stanković:
- Navešću vam nekoliko podataka koji će vas, nadam se, naterati na razmišljanje.
Najučestaliji razlog smrti na planeti su OBOLENJA SRCA I KRVNIH SUDOVA. Osnovni razlog nastanka takvih obolenja koja dolaze sa godinama je HOLESTEROL. Ispada da je holesterol najopasnija supstanca na planeti. Taj holesterol ubija više ljudi nego alkohol, nikotin i droge zajedno.
U 94% slučaja, ako je osoba umrla pre svojih 80 godina, kriv je loš holesterol.
Holesterol narušava zdravlje. Ako se holesterol ne bi naslagao u krvnim sudovima, čovek bi mogao lagano da živi do 100 godina.
Kako izgleda holesterol i šta je to? Daću jedno jednostavno poređenje: zamislite masnoću na tiganju koja se ohladila i stvrdnula. Otprilike tako i izgleda holesterol.
Nalazeći se u krvi, ta materija se taloži uz zidove krvnih sudova. Prvo je to tanki sloj (u 20-25 godina), a zatim se sloj holesterola brzo deblja (25-40 godina), jer se sve više čestica lepi na lepljivu površinu. KAO REZULTAT, U 40-tim GODINAMA HOLESTEROL SKORO ZA DUPLO SMANJUJE OTVOR KRVNIH SUDOVA. I srcu ništa drugo ne preostaje sem da povećava krvni pritisak. Osoba dobija skokove pritiska i starosnu hipertenziju sa svim posledicama. A ni to nije najopasnije!
Mnogo je opasnije kada holesterol potpuno začepljuje male krvne sudove koji prožimaju sva tkiva. Kao rezultat pogoršanog snabdevanja krvlju, u unutrašnjim organima se razvijaju patološki procesi. A to je podloga za razvoj hroničnih obolenja.
Razmislite može li voda teći kroz zahrđale cevi? Sigurno ne. Ista stvar se događa sa začepljenim krvnim žilama. Zbog kolesterola, koji se
nakuplja poput hrđe, krv ne može teći od srca do organa, uključujući i mozak. Rezultat je rana smrt.
Bukvalno sve u organizmu zavisi od stanja krvnih sudova. Ako se začepljuju krvni sudovi na nogama, to vodi varikozi, stalnim oticanju i večitom osećaju težine u nogama. Ako je začepljenje u jetri, nastaje hepatoza i ciroza; ako je u zglobovima, nastaju artritisi, artroze ili bolovi u kičmi. Ako se začepljuju krvni sudovi u očima, osoba polako gubi vid.
Taloženje holesterola je neizbežno. To se dešava u krvnim sudovima svake osobe. A začepljenje krvnih sudova je razlog brzog starenja.
Začepljeni krvne žile mogu dovesti do nepopravljivih posledica
Apsolutno svi organi pate kada su krvne žile začepljene kolesterolom i drugim naslagama. Glavni teret ide na kardiovaskularni sustav. Navest ću samo 10% od cijelog popisa bolesti koje se javljaju kod ljudi sa začepljenim žilama:
- Hipertenzija. Kao što sam rekao, krv ne može ulaziti u organe zbog uskog lumena u krvnim žilama.
- Moždani udar. Žile u mozgu su začepljene ili puknute. Opskrba krvlju moždanih hemisfera je poremećena, neuroni gladuju i umiru.
- Ateroskleroza. Kada količina kolesterola znatno premaši normu, u stenci krvnog žila nastaje aterosklerotski plak. Kretanje krvi prema organima može biti zaustavljeno u bilo kojem trenutku, što uzrokuje preranu smrt
- Srčani udar. Najčešća posledica uznapredovale ateroskleroze.
Više puta sam video posledice začepljenih krvnih žila. Tkiva bolno odumiru, SVI organi pate
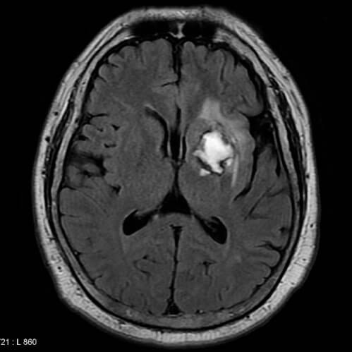
Magnetska rezonancija mozga pacijenta koji imao moždani udar. Zbog nakupljanja kolesterola krvna žila je pukla i krvari u mozak. Krv se nakuplja i komprimira okolno
moždano tkivo.
Srce 55-godišnje žene koja je zanemarila čišćenje krvnih žila. Na fotografiji se vidi raslojavanje lipida s naknadnim rastom vlakana vezivnog tkiva u stjenki krvnih
žila.
Zbog začepljenja krvnih žila muškarac je imao krvarenje u mrežnici.
Proverite sebe. Koliko su vam začepljeni krvni sudovi i da li imate rizik od rane smrti.
Profesor Marko Stanković:
Mogu odmah reći, ako nikada niste čistili krvne sudove, a imate više od 50 godina, onda su vaši krvni sudovi sigurno zaprljani. Čim krenete sa njihovim čišćenjem, OSETIĆETE POBOLJŠANJE SKORO ODMAH.
Simptomi prljavih krvnih sudova:
Ako imate najmanje 2 od sledećih simptoma, morate odmah očistiti krvne sudove!- Оticanje posle noćnog spavanja
- Šum u ušima
- Mušiće pred očima
- Bolovi u zglobovima
- Vrtoglavica
- Noćna nesanica i pospanost danju
- Osećaj stalnog umora
- Pogoršanje vida
- Pogoršanje pamćenja
- Varikoza
- Dispneja
- Učestali problemi sa gastrointestinalnim traktom
- Problemi sa viškom telesne težine
Da li možete da tvrdite da čišćenje krvnih sudova može da produži život starijim ljudima i da stabilizira pritisak?
Profesor DR. Marko Stanković:
- Ja to znam! Na našoj klinici mi indiciramo čišćenje krvnih sudova svim pacijentima, starijim od 50 godina (a nekima čak i od 40 godina). Tek nakon čišćenja određujemo kako ćemo dalje. PRIBLIŽNO KOD 9 OD 10 OSOBA PRITISAK SE NORMALIZUJE ODMAH NAKON ČIŠĆENJA I NE ZAHTEVA DALJE LEČENJE.
Drugim rečima, mnogi koji sada regularno uzimaju lekove za stabilizaciju pritiska mogli bi da se toga oslobode. A sve što je potrebno – da se očiste krvni sudovi. Ako je reč o hipertenziji, problem neće odmah da nestane (mada i to se dešava), ali ipak opšte stanje će postati mnogo puta bolje!
Najgore što me šokiralo su nesavesni lečnici Srbije koji samo žele zaraditi na vašoj nevolji. Mnogi od njih jednostavno zatvaraju oči pred činjenicom da čoveku trenutno preti opasnost da bude u bolničkom krevetu s moždanim udarom. Da, video sam slučajeve u kojima kardiolozi propisuju skupe lekove, ali sam shvatio da oni neće pomoći pacijentu. Pacijent će potrošiti puno novca i snage na svoje zdravlje. Rezultat će biti nula a vreme nepotrebno izgubljeno. Tako se čovek, iz neznanja, može polako odvesti u grob. Istovremeno, čišćenje krvnih žila je jednostavno, ne zahteva velike troškove i brzo oporavlja čoveka.
Način čišćenja krvnih sudova za penzionere i osobe sa hipertenzijom
Profesor DR. Marko Stanković:
- Danas u Europi postoji samo jedan učinkovit lek. Zove se Hypertea. Ovaj lek razvijen je 2015. godine na Institutu za bolesti srca. Sastav leka uključuje oko 40 aktivnih sastojaka, ekstrakte biljaka korisnih za krvne žile, vitamine, mikro- i makroelemente.
Najvažniji sastojak kompleksa „Hypertea“ čine takozvane „MOLEKULE AKTIVNOG KISEONIKA“. Baš one su u stanju da „pojedu“ prljavštinu nagomilanu u krvnim sudovima. Te „molekule“ rastvaraju i holesterol, i masu trombova, i kristale kalcijuma.
Za mene je najvažnije to da je čišćenje krvnih žila pomoću Hypertea već dugo popularno u Nizozemskoj. Znanstveno društvo provelo je anketu među ljudima koji su pribegli ovoj metodi.
Statistika govori sama za sebe:
- 18% pacijenata potpuno se rešilo kardiovaskularnih bolesti za 30 dana;
- 77% pacijenata potpuno se rešilo problema s krvnim pritiskom i kardiovaskularnih bolesti u 60 dana;
- 4% pacijenata rešilo se problema s krvnim pritiskom u 8 dana, ali eliminirali su kardiovaskularne bolesti u samo 90 dana;
- 1% pacijenata se rešilo samo problema s krvnim pritiskom;
- 96% pacijenata potpuno očistilo krvne žile i prevladalo sve rizike od kardiovaskularnih bolesti.
Lečenje hipertenzije i kardiovaskularnih bolesti u Srbiji ostalo je na razini srednjeg veka! Možemo ovo popraviti zajedno!
Koliko dugo treba koristiti Hypertea da bi se očistili krvni sudovi?
U proseku kurs uzimanja leka traje 4-6 nedelja. Po isteku tog perioda treba videti prema stanju pacijenta.
Nabrojaću šta može da učini Hypertea za vaš organizam i zdravlje tokom čišćenja i nakon nekoliko meseci posle čišćenja.
Čisti i obnavlja krvne sudove
Pomoću „molekula aktivnog kiseonika“ Hypertea će rastvoriti holeresterolske naslage, trombove i nakupljanja kalcijuma. Dodatno, zahvaljujući ekstraktu gloga, lek deluje blagotvorno na srčani mišić, povećava tonus krvnih sudova i vraća im elastičnost. Nakon mesečnog kursa korišćenja leka, prema podacima istraživanja, krvni sudovi postaju tako čisti i elastični kao kod mladih ljudi od 25-30 godina. Dolazi do regeneracije sitnih kapilara. Kao rezultat, prestaje da skače pritisak, nestaje malaksalost, pospanost, brže se zaceljuju rane i posekotine. Osim toga, javlja se osećaj energičnosti. Kad se vrati energija, poželećete da nešto radite u kući ili na vikendici.
Regenerisaće unutrašnje organe i zglobove
Nakon čišćenja krvnih sudova počeće regeneracija unutrašnjih organa. Na sreću, priroda nam je podarila takvu mogućnost kao što je regeneracija ćelija. Rezultata regeneracije je nestanak brojnih obolenja. Naprimer, ako ste imali problem sa pankreasom ili slezinom, prestaće da bole. Veoma često nakon čišćenja krvnih sudova izleče se čirevi na želucu i dvanaestopalčanom crevu. Sem toga, regenerišu se i zglobovi. Nestaju krckanje i škljocanje u vratu, leđima i zglobovima. Hrskavica živne. Kolena i prsti prestaju da reaguju na vremenske promene. Vraća se pokretljivost zglobova.
Rastopiće višak masti
Višak težine je uzrok koji 4-5 puta pogoršava stanje sa hipertenzijom i stanje starijih osoba. Što je veća težina, to je veće opterećenje na krvne sudove, srce i zglobove.
Česti razlog povećanja težine je
začepljenje krvnih sudova, pošto glukoza ne može u potrebnoj meri da se ukloni iz tkiva. Nakon pročišćavanja zađubrenih krvnih sudova telesna težina automatski počinje da
se topi.
Pored toga, Hypertea sadrži supstance koje ubrzavaju proces razgrađivanja masti. u proseku za mesec dana nakon čišćenja krvnih sudova gubi se 8-12 kg telesne mase.
Poboljšaće vid i pamćenje
Kompleksna formula Hypertea-a je u stanju da regeneriše mikrosudove oka (fundusa), tako da se postepeno vid vraća. Mnogi ljudi ponovo počinju da vide broj autobusa izdaleka i ponovo mogu da ubodu konac u iglu. Dolazi do potpune regeneracije krvnih sudova u oku. Onima ko ima čiste krvne sudove slepilo ne preti! To znaju svi oftalmolozi.
Vraća potenciju muškarcima!
Jedna od neverovatnih posledica čišćenja krvnih sudova je da kod muškaraca ponovo počinje da se luči hormon testosteron. Kao rezultat, prostatitis nestaje i isceljuje se adenom prostate. Pored toga, vraća se potencija. Ako imate manje od 70 godina, ponovo ćete moći da imate seks.
Nedostatak Hypertea lekova u apotekama u Srbiji
Koliko nam je poznato, jako je teško naći Hypertea u apotekama. Taj lek retko čeka na polici. Da li je to tačno? I šta biste mogli posavetovati našem narodu koji želi doći do leka?
- Da, zaista je tako. Hypertea se proizvodi u malim ograničenim količinama, i zato on prosto ne stiže do apoteka. Veliki deo, nažalost, ide vani, a deo otkupljuju privatne klinike.
Obični ljudi teško mogu da dođu do Hypertea-a. Ali ZA SADA MOŽETE DA NARUČITE LEK U NAŠOJ KLINICI. U tu svrhu treba popuniti na sajtu narudžbinu za dobijanje leka. Odlučili smo da deo nabavljenog leka izdvojimo za taj program. Mada, nije to veliki broj pakovanja, tako da neće biti dostupan baš za svakog ko se javi. Iz tog razloga lek mogu dobiti oni koji će prvi naručiti.
Uslovi dobijanja Hypertea:
- Potrebno je da se nalazite na teritoriji Srbije. Hypertea ne šaljemo van granica zemlje.
- Dozvoljeno je naručiti Hypertea SAMO ZA LIČNU UPOTREBU. Molim preprodavce da ostavite lek za ljude! Nije ljudski da profitirate na starijim osobama!
- Popuniti zvanični obrazac za dobijanje leka možete na ovom sajtu. Potrebno je navesti broj telefona za kontaktiranje sa našim agentom.
Iskoristite ovu šansu, dok to nisu drugi uradili!
Kao što sam već rekao, nažalost, ne posedujemo dovoljne količine tog leka za sve obolele od hipertenzije i starije osobe u Srbiji. Zato smo doneli odluku da ga pružimo onima ko će brže od drugih da popune obrazac na sajtu. Ako želite da poboljšate svoje zdravlje i da eliminišete skokove pritiska pomoću dubinskog čiščenja krvnih sudova, naručite lek što pre, dok ga ima na lageru.
Pažnja! Hypertea brzo nestaje.
Broj pakovanja leka brzo se smanjuje!
Trenutno je ostalo:
25 pakovanja
Cena leka za vas iznosi –
DOKAZANO JE! PROLJEĆE JE NAJPOGODNIJE VREME ZA LEČENJE ARTERIJSKOG PRITISKA. U TOM PERIODU SE ODVIJA AKTIVNO DELENJE I OBNAVLJANJE ĆELIJA ORGANIZMA I ZAHVALJUJUĆI TOME VREME LEČENJA SE DUPLO SKRAĆUJE.


Puno vam hvala za to što pružate penzionerima takvu izvanrednu mogućnost! Lečila sam se Hypertea preparatom. Imala sam visoki pritisak, a sada mi se pritisak uopšte ne povećava. Stalno sam imala bol u kolenima, sada nemam tih tegoba. Glavobolja je nestala. Prošla je gorčina u ustima. I još dosta toga se promenilo na bolje. Kao da sam se podmladila!
Naručio sam. Jako se nadam da će biti leka i za mene. Imam 64 godine i sav se raspadam. Puno sam čitao o čišćenju krvnih žila i koliko to pomaže ozdravljenju. Želim da to probam na sebi.
Hypertea je daleko najbolje sredstvo od svih! Prvo sam dugo koristila adelfan, pa onda erinit. Znam da su to zastareli lekovi. Ali ne volim da idem kod lekara, a nije mi tolika nužda bila. Ponekad sam uzimala te lekove, kada je pritisak skakao ili srce bolelo. No odjednom su lekovi prestali da deluju. Onda sam pošla kod doktora i on mi je preporučio da probam novo sredstvo Hypertea (taj lekar je mlad, pa verovatno još veruje da je medicina institucija koja pomaže ljudima, a ne da uzima novac od njih). Hypertea mi je odmah pomogao, čim sam krenula da ga pijem: pritisak mi se odmah smanjio, ali je doktor rekao da treba celi tječaj da prođem. Kroz 3 tjedna sam zaboravila za hipertenziju. Varikoza mi je prošla, a mučila me 10 godina. Još sam imala ginekološki problem, a i on je nestao kao da nikad nije ni postojao. Osećam se odlično, kao u mladosti.
I ja sam se lečio sa Hyperteaom. Baš mi je puno pomogao. Opšte zdravstveno stanje se znatno poboljšalo. Preporučio bih taj lek svim starijim osobama.
Želim da potvrdim – lek je pravo čudo!!! Kupila sam Hypertea, kao što je pisalo, sa popustom. Imala sam pritisak, skoro svako veče me je bolela glava toliko da poludim, nisu pomagali ni lekovi protiv bolova. Mada sam kasnije saznala da je glava bolela od pritiska. Uglavnom, školska drugarica mi je preporučila taj Hypertea, pa sam uspela da ga dobijem sa popustom. Bila sam jako zadovoljna. Kroz 2 mjeseca već sam bila druga osoba. Shvatila sam da pre čišćenja krvnih žila maltene nisam ni živela! Glavobolja me više ne muči; varikoza mi je nestala i NAJVAŽNIJE – SMRŠALA SAM 20 KILOGRAMA! Sa 94 kg na 74 kg. Eto šta znači normalizacija krvotoka!
Slažem se. Jako efikasno sredstvo za probleme sa pritiskom! Sada mi je pritisak stabilan, 120 sa 80.
Prihvatila sam izazov i nisam zažalila. Ako postoji problem sa krvnim žilama, onda preporučujem to sredstvo. Nuspojava nije bilo i zadovoljna sam rezultatom.
Toliko sam Vama zahvalna za informaciju vezano za ovaj lek. Davno sam preželjkivala nešto slično. Jedva čekam pošiljku! Stigla sam da kupim preko akcije. Hvala!
Imao sam hipertenziju. Imao sam, a sada nemam... za 10 dana sve je prošlo! Hvala vam za to!
Zahvaljujem za Hypertea! Čim sam probao, osetio sam znatno olakšanje. Videćemo šta će biti za nedelju dana. Za sada je rano govoriti o trajnim rezultatima, kasnije ću Vam napisati. Ali pritisak je već sada prestao da skače, ne osećam ga. Mislim da ću uspeti!
O Hyperteau doktor je rekao istinu. Ja sam jedan od onih koji su stigli da ga probaju. Ja sam hipertenzičar sa „stažem“, 7 godina patim od tog obolenja. Već sam se pomirio sa mišlju da ću do kraja života piti tablete, ali nakon kursa “Hypertea“ pritisak je potpuno prestao da se povećava.
O da, to je pravi lek! Sve mi je bolelo. Leđa, levi bok, zglobovi nisu hteli da me slušaju. Pritisak je znao toliko da se popne da samo poželiš da nestaneš. Ujutru jedva sam se budila. Moj život je ličio na pakao. Tablete sam pila šakama. A onda sam saznala za Hypertea i čišćenje krvnih žila. Nakon 3 tjedna pijenja leka osetila sam da se opšte stanje znatno poboljšalo. Sada sam počela aktivno da se bavim svojim zdravljem. Nadam se da ću još da poživim! Velika Vam hvala!
Moj komšija na vikendici često se žalio na svoje zdravlje zbog svakakvih bolesti, čas želudac, čas srce. Ali zadnji mjesec vidim da je aktivan i veseo, živnuo je. On je ispričao da je pio Hypertea. On ima 72 godine.
Hvala na info.
Ljudi, učinite to, dok ima tog leka, ostalo je još samo nekoliko komada! Ako ste u mogućnosti, naručite odmah. Čisti krvni žile su osnov svega. Želim svima dobroga zdravlja i puno godina života!